Casi clinici

Ortodonzia

I nostri casi clinici

Ogni singolo caso viene minuziosamente studiato per proporre soluzioni terapeutiche con risultati di Eccellenza.

Ortodontico-chirurgici

Carlo: 20 anni
Paziente trattato con first surgery + 6 mesi di trattamento ortodontico.

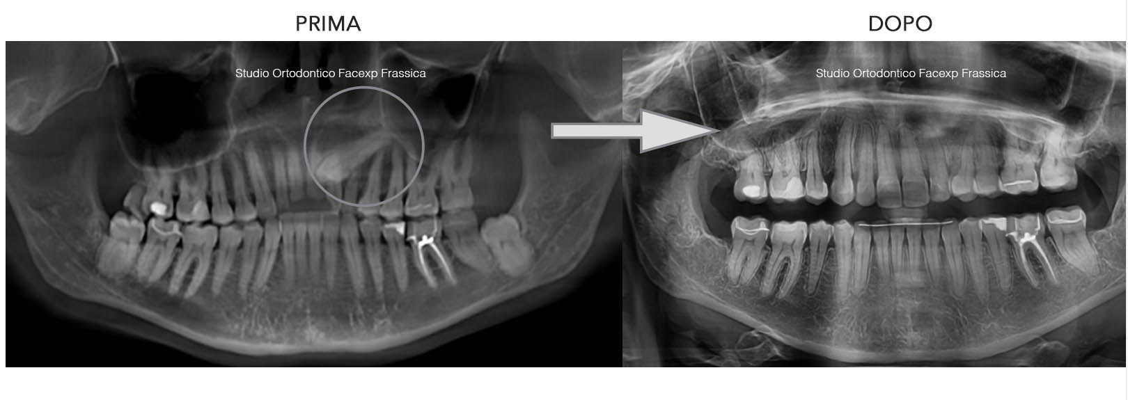
Paziente di 30 anni
Paziente trattata con ortodonzia fissa e chirurgia ortognatica di allungamento mandibolare e ricostruzioni estetiche del settore frontale.

Ortodonzia invisibile

Paziente di 28 anni
Chiusura Open Bite anteriore, correzione affollamento grave, espansione delle arcate. 1 anno e mezzo di trattamento.

Paziente di 44 anni
Correzione di diastemature e sostituzione corona su incisivo superiore post ortodonzia. 7 mesi di trattamento.

Silvia: 28 anni
Correzione affollamento grave e correzione di cross-bite con Invisalign; 48 mascherine; 2 anni di trattamento.

Giuseppe: 30 anni
Correzione affollamento grave superiore e inferiore e correzione della forma a V delle arcate dentarie mediante espansione dento-alveolare.

Paziente: 60 anni
Correzione dell’affollamento con 14 mascherine, recontouring gengivale, ripristino delle lunghezze del settore frontale mediante ricostruzioni estetiche, corone e intarsi a sostituzioni di vecchie amalgame.

Ortodonzia fissa

Michela: 40 anni
Un canino incluso non recuperabile e permanenza del canino da latte in arcata: trattata con estrazione del canino incluso e con la chiusura dello spazio estrattivo in maniera ortodontica, senza l’utilizzo di impianti dentali o altri denti “finti”. Finalizzazione dopo il trattamento ortodontico del settore frontale con sbiancamento e ricostruzioni estetiche in composito. 2 anni di trattamento.

Ricostruzioni estetiche settore incisivo + Sbiancamento dentale

Barbara: 27 anni
Paziente venuta in studio perché le era erotto un canino sul palato; trattata con ortodonzia fissa.

Alessandro: 17 anni
Paziente con palato stretto, cross-bite posteriore monolaterale e deviazione delle linee mediane. È stato trattato con espansione ortopedica non chirurgica mediante tecnologia Benefit, nonostante i 17 anni di età. Tempo di trattamento: 18 mesi.

Dispositivo Benefit
Direttore sanitario: Dottor Vincenzo Valentini
Autorizzazione 2595


Polizza assicurativa: Compagnia Asigest Broker S.P.A - Polizza RCI00010001342
Scadenza: 21/11/2024 - Massimale 2.000.000,00


Asigest Broker S.P.A - Ufficio di Roma Via Giovanni Paisiello 27 - 00198 P.IVA: 01917540518
Studio Dentistico Frassica
Orario di apertura
Lunedì 9:00 - 20:00
Martedì 9:00 - 20:00
Mercoledì 9:00 - 20:00
Giovedì 9:00 - 20:00
Venerdì 9:00 - 20:00
Sabato Chiuso
Domenica Chiuso
© 2024. «powered by Dentisti Italia». E' severamente vietata la riproduzione, anche parziale, delle pagine e dei contenuti di questo sito.