Cosa sono

Le faccette dentali

Fase Diagnostica

Le faccette sono dispositivi estetici e funzionali che vengono posizionati quando ci sono dei problemi quali:

  • Usura dentale
  • Mal posizionamento
  • Discromia (alterazioni di colore, macchie)

Possono essere posizionate sia su singoli elementi dentali che su una intera arcata. Non è sempre indicato inserire delle faccette dentali, ad esempio è necessario valutare l’esistenza dello spazio fisiologico per l’inserimento, o la presenza di un affollamento dentale. In questi casi si tratta il paziente preliminarmente con un trattamento ortodontico, evitando cosi faccette dentali che possano staccarsi o che risultino eccessivamente protruse.

Puoi vedere il risultato finale ancor prima di effettuare l’operazione!

Previsualizzazione del risultato finale sia in digitale che in bocca al paziente: Dopo una progettazione digitale una simulazione in resina verrà poggiata sui tuoi denti cosi da permetterti di vedere sin da subito il risultato finale!

Fase esecutiva

Insieme sceglieremo forma e colore dei tuoi nuovi denti per ottenere il risultato estetico da te desiderato

Faccette in ceramica integrale, translucenza e colore dei denti veri. Un modo eccezionale per cambiare il vostro sorriso!

Guarda tutti i passaggi

Perchè vengono utilizzate?

Lo scopo di applicare delle faccette, anche dette “veneers”, è correlato all’esigenza di dare un’estetica adeguata sorriso del paziente. 

Chi chiede l’applicazione di faccette è la persona che non è soddisfatta della forma e/o del colore dei denti, che abbia fatto un percorso ortodontico e intende finalizzare perfezionando il risultato oppure che abbia scelto un compromesso valido per correggere definitivamente i difetti del proprio sorriso, mimetizzando anche piccoli disallineamenti dentali.

Anche il paziente bruxista ricorre all’uso delle faccette per ristabilire la normale dimensione dei denti erosi dal digrignamento continuo negli anni. In questo caso si parla di vera e propria riabilitazione e rappresenta un lavoro sia funzionale che estetico.

Di che materiale sono fatte le faccette estetiche?

Le faccette estetiche sono composte integralmente da ceramica lavorata in laboratori specifici, che devono rispettare dei canoni precisi di qualità per garantirne la durevolezza nel tempo, nonché enfatizzare il risultato finale con la principale caratteristica richiesta, ovvero la naturalezza del lavoro. Il dente su cui è applicata la faccetta deve essere traslucente, non subire variazioni di colorazione nel tempo e rappresentare la forma desiderata in armonia con il sorriso della persona.

Faccette dentali

Domande&Risposte

Le faccette sono removibili?

Il lavoro di estetica sviluppato con le faccette non è un processo reversibile.
Una volta preparati gli elementi dentari per l’applicazione delle faccette, non possono prescindere dalla loro presenza, in quanto la superficie del dente richiede un trattamento di irruvidimento che seppur minimo è comunque visibile.
Le faccette possono solo essere rimosse in caso di sostituzione.

Che durata hanno le faccette?

Questo tipo di lavori di alta precisone, che implica l’utilizzo di materiali sofisticati e tecniche avanzate impiegate dall’odontoiatra e dal laboratorio specializzato nel settore estetico, devono essere garantiti per il più lungo periodo di tempo determinato dalla situazione dentale del paziente. Con la giusta situazione di partenza e le accortezze specifiche del caso, le faccette possono essere considerate un lavoro protesico definitivo.

Il dente su cui viene applicata la faccetta subisce traumi?

Nonostante la lavorazione per l’applicazione delle faccette richieda una preparazione specifica, va detto che il dente subisce soltanto un processo di irruvidimento: viene abrasa una minima percentuale di smalto senza intaccare minimamente la dentina perciò si resta lontani dalla parte vitale del dente. Questo procedimento è necessario al fine di permettere l’adesione chimica e fisica di speciali compositi che ne consentono una coesione duratura.

Le faccette hanno bisogno di una particolare manutenzione?

Per mantenere intatto un lavoro di faccette basta fare attenzione a 3 cose:

  • evitare di mordere cose estremamente dure con gli elementi interessati (che sarebbe in ogni caso dannosa anche per i denti naturali!),
  • avere cura di mantenere una buona igiene orale quotidiana e non saltare i richiami periodici (6 mesi/1 anno) per effettuare la seduta di ablazione del tartaro professionale,
  • evitare traumi esterni.

Queste raccomandazioni sono sovrapponibili a quelle che darebbe un qualunque dentista anche a chi non indossa le faccette, sono cioè una buona norma per tutti.

Info utili

Quanto tempo ci vuole per avere le faccette in bocca?

Gli appuntamenti necessari per finalizzare un lavoro di estetica ed estrema precisione, variano da 4 a 5, e prevedono le seguenti FASI di lavorazione sul caso

Fase 1

Studio del caso con analisi estetica (facciale, dento-labiale, gengivale e della fonetica), analisi funzionale con valutazione dell’occlusione: raccolta di foto, impronte e riferimenti di articolazione.

Fase 2

Presentazione di modelli in gesso sui quali viene modellata con della cera il risultato finale che può essere discusso e modificato in base a esigenze funzionali e estetiche;

Fase 3

Prova direttamente in bocca della simulazione del lavoro finale mediante il mock up, cioè una mascherina che viene preparata sulla ceratura e che consente di simulare il risultato in bocca mediante l’applicazione di una resina che riproduce la forma delle faccette senza minimante toccare i denti.

Fase 4

Qualora la presentazione sia idonea alle aspettative del paziente, nella stessa seduta si prende l’impronta di precisione dopo specifica preparazione degli elementi dentari interessati.

Il paziente va via indossando delle faccette provvisorie che donano già un aspetto migliore al sorriso di partenza (la forma sarà la stessa del lavoro finale, cambiano solo i materiali di cui sono costituite, ossia sono in resina).

Fase 5

Prova delle faccette finali grezze: serve per verificare che il lavoro abbia tutte le caratteristiche estetiche e funzionali come richiesto.

Fase 6

Prova delle faccette finali grezze: serve per verificare che il lavoro abbia tutte le caratteristiche estetiche e funzionali come richiesto.

Inizia subito

Trasforma il Tuo Sorriso Oggi

Le facette dentali possono regalarti il sorriso che hai sempre sognato in modo rapido e indolore. Le nostre facette dentali personalizzate offrono una soluzione immediata per un sorriso più bianco e allineato.

Clicca qui

Faccette

I nostri casi clinici

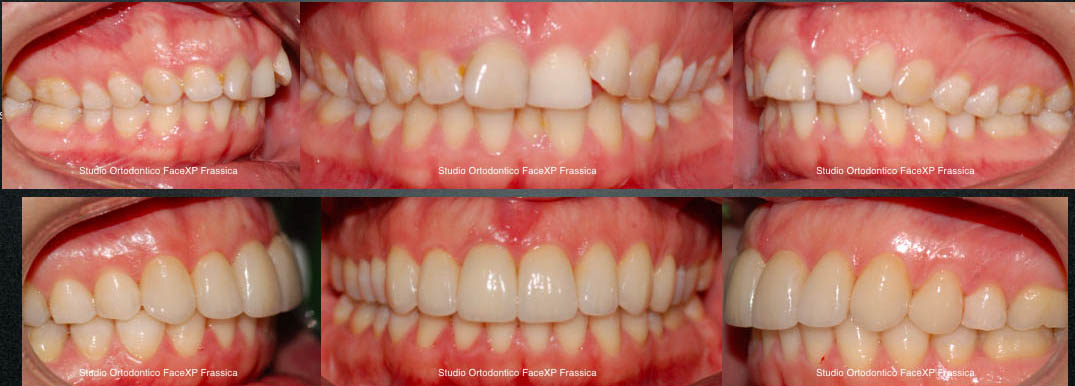
Caso Clinico 1

Paziente bruxista che aveva consumato i denti a causa della parafunzione notturna, trattata con trattamento ortodontico-chirurgico di 18 mesi e finalizzazione con 7 faccette estetiche del settore frontale superiore.

Caso Clinico 2

Paziente con agenesia di un incisivo laterale superiore e l’altro incisivo laterale microdontico. Caso trattato con ortodonzia e 6 faccette superiori, 2 delle quali per trasformare un canino superiore in incisivo laterale e un premolare in canino.

Caso Clinico 3

Paziente a cui sono state applicate 6 faccette superiori e 4 inferiori. Migliorata l’esposizione dentale, i margini gengivali e la tonalità cromatica del sorriso.

Caso Clinico 4

Paziente a cui è stata aumentata l’esposizione dentale sia a riposo che nel sorriso e migliorata la resa estetica anche della tonalità cromatica. Applicate 7 faccette superiori nel settore frontale.

Prenota

Una visita di valutazione

Lo studio dentistico Frassica si trova a 500 metri dalla fermata Metro Bologna e a poche decine di metri da molte linee Bus (ad esempio 60 e 90 express)

Compila il modulo

Direttore sanitario: Dottor Vincenzo Valentini
Autorizzazione 2595


Polizza assicurativa: Compagnia Asigest Broker S.P.A - Polizza RCI00010001342
Scadenza: 21/11/2024 - Massimale 2.000.000,00


Asigest Broker S.P.A - Ufficio di Roma Via Giovanni Paisiello 27 - 00198 P.IVA: 01917540518
Studio Dentistico Frassica
Orario di apertura
Lunedì 9:00 - 20:00
Martedì 9:00 - 20:00
Mercoledì 9:00 - 20:00
Giovedì 9:00 - 20:00
Venerdì 9:00 - 20:00
Sabato Chiuso
Domenica Chiuso
© 2024. «powered by Dentisti Italia». E' severamente vietata la riproduzione, anche parziale, delle pagine e dei contenuti di questo sito.